Scoprite il volto e la voce di chi lavora nella grande Famiglia di Amicodentista… Un po di Pet Teraphy dopo un’intensa giornata di lavoro! Eccellenza nelle...
Per cercare ristoranti e hotel ci ritrovavamo a passare ore e ore sul web e alla fine ci accontentavamo del primo che capitava, esausti dalle varie ricerche. Via via...
La salute del cavo orale è molto importante, in quanto è strettamente connessa alla salute sistemica. Infatti a livello del cavo orale, come nel resto del corpo, si può...
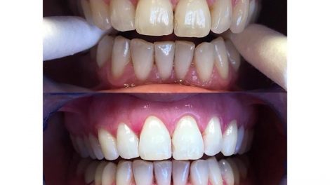
«Il sorriso è il migliore make up che una donna possa indossare»: a dirlo era Marilyn Monroe che, in quanto a bellezza e seduzione, non aveva pari. Il sorriso può essere...
Le vacanze estive finalmente sono alle porte! E’ ora di preparare i bagagli! Non sapete come preparare il vostro Beauty Case? Molte donne hanno una difficoltà...


