Chi ha già avuto un ascesso sa bene quanto possa essere doloroso: la guancia si gonfia, il mal di denti diventa insopportabile e il dentista improvvisamente si trasforma...
Gli impianti dentali sono usati da decenni per sostituire i denti mancanti e, oggi, si eseguono protesi fisse che possono durare tutta la vita, se ne abbiamo cura. La...
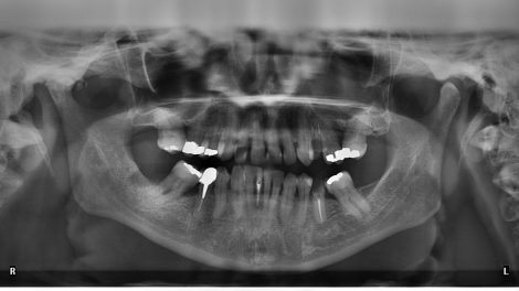
Sempre più spesso ci capita di avere a che fare con Pazienti che, sedotti dal risparmio e dalle lusinghe dei dentisti dell’Est, si rechino in quei paesi solo per farsi...
In rete e non solo si sente sempre più spesso pubblicizzare una non ben precisata terapia che, attraverso l’utilizzo del laser, consentirebbe di guarire la piorrea...
Il dolore post operatorio dipende da molti fattori, soprattutto dalla condizione dell’osso prima dell’intervento…


